「歯がボロボロ」でお困りの方へ
どんなに歯がボロボロでも、安心してご来院ください
歯や歯ぐきに違和感を感じたら、悪化する前に歯医者にかかるのが理想的ですが、なかなか歯医者に行けず、悪化してしまう方もいます。
それでも、安心してご来院ください。
歯科クリニックはむし歯や歯周病などを治すところです。
むし歯を放置してしまし歯がボロボロになってしまった方や重度な症状の方の治療もします。
患者さんの中には、怒られたり軽んじられるのではと思っている方がいるようですが、当クリニックでは決してそんなことはありません。
また、当クリニックでは、重度なむし歯や歯周病の方に効果的な精密治療や審美治療を得意としております。
どんな歯の方でも、治したい、良くしたいと思っている患者さんには、しっかり向き合って治療してまいります。
不安なことやお悩みがありましたら、お気軽にスタッフにご相談ください。
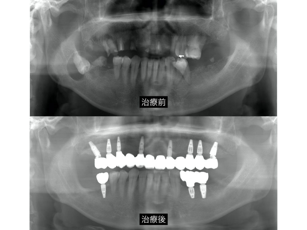
不幸にして多くの歯を失ってしまった方の再構築の症例
一度崩壊してしまった歯を再建するのは容易ではありませんが、諦めなければ少しでも明るい未来はあります。
『口の中を見せるのは恥ずかしい』という気持ちはとてもわかります。
今起こっていることを後悔するのではなく、これからの未来を明るくしていくことを一緒に考えていきましょう!
| 治療期間 | 1年6ヶ月 |
|---|---|
| リスク | 一時的にしみるなどの痛みを伴う事があります。 |
| 治療費用 | インプラント¥400,000〜(税別) セラミック¥60,000〜160,000(税別) |








